Novartis Nephrodarium
Hier gibt's noch nichts zu sehen.
Ab 1. Dezember erwarten Sie hier spannende, nephrologische Inhalte.
Schauen Sie gerne nochmal vorbei.
In unserem Newsletter halten wir Sie auf dem Laufenden:
Fakt des Tages
Die Expression von Komplementfaktoren erfolgt auch aus endothelialen, mesangialen und epithelialen Zellen der Nieren.1–8
Das Komplementsystem wird klassischerweise als im Plasma operierendes System beschrieben, dessen Komponenten von der Leber ausgeschüttet werden. In jüngerer Zeit wurde jedoch erkannt, dass viele andere Gewebe ebenfalls Komplementfaktoren produzieren.8-10
Mehr über das Komplementsystem und seine Rolle bei Nierenkrankheiten erfahren11
1. Passwell J, et al. J Clin Invest. 1988;82(5):1676-1684. 2. Sacks SH, et al. Lancet. 1993;342(8882):1273-1274. 3. Sacks SH, et al. Immunology. 1993;79(3):348-354. 4. Welch TR, et al. J Clin Invest. 1993;92(3):1451-1458. 5. Welch TR, et al. Kidney Int. 1996;50(2):52152-52155. 6. Witte DP, et al. Am J Pathol. 1991;139(4):717-724. 7. Zhou W, et al. Eur J Immunol. 1993;23(10):2477-2481. 8. Friščić J, et al. Immunity. 2021;54(5):1002-1021.e10. 9. Li K, et al. Mol Immunol. 2007;44(16):3866-3874.K 10. Morgan BP, Gasque P. Clin Exp Immunol. 1997;107(1):1-7. 11. Freiwald T, Afzali B. Adv Immunol. 2021;152:1-81.
Besinnliches
Total humoral:
Komplement für dieses System
Über 40 Proteine auf der Zelloberfläche und im Blut,
arbeiten zusammen – und das ziemlich gut,
als Teil der körpereigenen Immunabwehr,
und machen es eindringenden Mikroorganismen schwer.
Zumeist mit Bedacht in der Leber synthetisiert,
werden auf drei Wegen komplexe Kaskaden aktiviert,
eine Fehlregulation, die dies jedoch dauerhaft macht,
hat schon so manche Krankheit entfacht.
Doch zumeist läuft es rund, verteidigt wie’s soll,
macht seinen Job, und das verdammt toll,
wie wir es also auch wenden und dreh’n:
Kompliment für dieses ausgeklügelte System.
Noch mehr Poesie gefällig?
Hier unser Tipp für leicht verdauliche Informationen zum Komplementsystem.
Denkanstoß
Glomerulonephritiden nach Pathogenese klassifizieren?
Glomerulonephritis (GN) beschreibt eine Gruppe von heterogenen, immunvermittelten Erkrankungen, die durch Entzündungen der Filtereinheiten der Niere (Glomeruli) gekennzeichnet sind. Derzeit erfolgt die Klassifikation dieser Erkrankungen hauptsächlich auf der Grundlage histopathologischer Läsionsmuster, die jedoch die zugrunde liegenden pathologischen Mechanismen oft nur unzureichend widerspiegeln. Die Autor*innen schlagen daher eine Einteilung der GN-Erkrankungen in fünf Kategorien vor, basierend auf ihrer Immunpathogenese. Diese Kategorisierung könnte eine geeignete Behandlung informieren.1
Mehr zur Immunpathogenese von Glomerulonephritiden
1. Anders HJ, et al. Nat Rev Immunol. 2023;23(7):453-471.
Fakt des Tages
1 von 2 Kindern mit C3G oder IC-MPGN erlebt innerhalb von 5 Jahren nach der Nierentransplantation ein Rezidiv.1
C3G ist durch eine hohe Rate an Krankheitsrezidiven in der transplantierten Niere gekennzeichnet. In einer multizentrischen, longitudinalen Kohortenstudie des Cooperative European Paediatric Renal Transplant Initiative (CERTAIN)-Registers wurden die posttransplantativen Ergebnisse von pädiatrischen Patient*innen mit C3G (n = 17) oder IC-MPGN (n = 3) mit einer gematchten Kontrollgruppe (n = 20) verglichen.1
Erfahren Sie mehr zu Posttransplantations-Ergebnissen von Kindern mit C3G oder IC-MPGN
C3G C3-Glomerulopathie. IC-MPGN Immunkomplex-vermittelte membranoproliferative Glomerulonephritis.
1. Patry C, et al. Pediatr Nephrol. 2024;39(12):3569-3580.
Schon gewusst?
Warum ist die Niere besonders anfällig für komplementvermittelte Schädigungen?
Die Komplementregulation kann in der Niere leicht gestört werden. Die Gründe dafür variieren je nach Mikroumgebung. Glomeruli sind z. B. anatomisch bedingt kontinuierlich hohen Mengen an zirkulierenden Komplementproteinen und Immunkomplexen ausgesetzt. Tubuläre Epithelzellen hingegen können die Komplementaktivierung unter pathologischen Bedingungen aktiv fördern, z. B. durch die Synthese von Komplementproteinen oder die reduzierte Expression von Komplement-regulatorischen Proteinen an der Zelloberfläche.1
Erfahren Sie mehr zur Rolle des Komplementsystems bei Nierenkrankheiten.
1. Petr V, Thurman JM. Nat Rev Nephrol. 2023;19(12):771-787.
Fakt des Tages
Eine menschliche Niere enthält etwa 1 Million Glomeruli …1
… und damit etwa 10 x mehr als eine 2 m hohe Nordmanntanne Nadeln hat.
1. Bertram JF, et al. Pediatr Nephrol. 2011;26(9):1529-33.
Schon gewusst?
Was ist das Komplosom?
Das Komplementsystem ist traditionell als ein wichtiger Bestandteil der Immunabwehr und als im Serum wirksames System bekannt.1 Jüngste Erkenntnisse zeigen jedoch, dass das Komplement auch intrazellulär aktiv ist und grundlegende zelluläre Prozesse reguliert.2,3 Das sogenannte „Komplosom“, also das intrazelluläre Komplementsystem, wirkt in verschiedenen Zelltypen und Geweben und unterstützt die Zellhomöostase (u. a. mitochondrialer Stoffwechsel, Glykolyse, Autophagie, Genexpression) sowie die Immunantwort.4–6
Mehr über das Komplosom und die Folgen seiner Dysregulation erfahren7
1. Bordet JGO. Ann De l’Inst Pasteur. 1901;15:289-303 2. Kolev M, et al. Nat Rev Immunol. 2014;14(12):811-820. 3. Liszewski MK, et al. Immunity. 2013;39(6):1143-1157. 4. Kolev M, et al. Immunity. 2015;42(6):1033-1047. 5. Kremlitzka M, et al. Front Immunol. 2019;10:493. 6. King BC, et al. Autophagy. 2019;15(5):919-921. 7. West EE, Kemper C. Nat Rev Nephrol. 2023;19(7):426-439.
Besinnliches
„Süße Nierchen“
Unser Plätzchenrezept mit wenig Kalium und Phosphat – aber jeder Menge Genuss
Menschen mit chronischer Nierenkrankheit müssen bei ihrer Ernährung einiges beachten. Doch auch mit gesunden Nieren schmecken diese Plätzchen verdammt gut.
Zutaten
125 g Honig
100 g Zucker
50 ml Sahne
225 g Mehl
15 g Kakaopulver
50 g Löffelbiskuits
1 Tl Natron
1 Tl Zitronenschale
1 Tl Lebkuchengewürz
Puderzucker zum Dekorieren
Schritt-für-Schritt-Anleitung
- Honig, Zucker und Sahne verrühren, kurz aufkochen und anschließend abkühlen lassen
- Die Löffelbiskuits fein reiben und mit den übrigen Zutaten zu einem glatten Teig kneten
- In Wunschform ausstechen und bei 180°C etwa 15min goldbraun backen
- Die abgekühlten Plätzchen zum Schluss mit Puderzucker bestäuben
Schon gewusst?
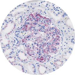
Welche Nierenkrankheit erkennen Sie auf dieser Biopsieaufnahme?
Lösung anzeigen Lösung verbergenC3-Glomerulopathie
Die C3G ist eine seltene, komplementvermittelte und chronisch-progrediente Nierenkrankheit.1,2
Aufgrund der eher unspezifischen initialen Symptome ist bei einem Verdacht auf eine C3G eine Nierenbiopsie mit anschließender Immunhistochemie unerlässlich für eine rechtzeitige und gesicherte Diagnose.3
Jetzt mehr Mikroskopie-Aufnahmen entdecken
1. Schena FP, et al. Int J Mol Sci. 2020;21(2):525. 2. Smith RJH, et al. Nat Rev Nephrol. 2019;15(3):129-143. 3. Martin B, Smith RJH. In: Adam MP, Ardinger HH, Pagon RA, et al. GeneReviews® [Internet]. Updated 2018. University of Washington, Seattle; 1993-2022.
Fakt des Tages
Ergänzend zur EM könnte in Zukunft vielleicht bald die ApoE-Färbung für die Diagnose von DDD verwendet werden.1
Die C3-Glomerulopathie (C3G) umfasst die C3-Glomerulonephritis (C3GN) und die Dense Deposit Disease (DDD), die beide durch eine glomeruläre C3-Färbung in Immunfluoreszenzstudien gekennzeichnet sind. Im Gegensatz zur C3GN ist die DDD in elektronenmikroskopischen Aufnahmen (EM) durch dichte Ablagerungen innerhalb der glomerulären Basalmembranen (GBM) gekennzeichnet. Eine aktuelle Studie zeigt, dass die dichten Ablagerungen bei DDD mit Apolipoprotein E (ApoE) angereichert sind.1
Modifiziert nach Caravaca-Fontán F, et al. 20202
Mehr über die ApoE-Färbung erfahren
ApoE Apolipoprotein E. C3G C3-Glomerulopathie. C3GN C3-Glomerulonephritis. DDD Dense Deposit Disease. EM Elektronenmikroskopie. GBM Glomeruläre Basalmembranen.
1. Madden B, et al. Kidney Int. 2024;105(5):1077-1087.
2. Caravaca-Fontán F, et al. Nephron. 2020;144(6):272-80.
Fakt des Tages
Der Weihnachtsmann lebt nicht am Nordpol – sondern im Weihnachtsmanndorf im finnischen Rovaniemi in der Region Lappland.
Unsere C3G-Expert*innen hingegen sind überall in Deutschland für Sie da. Und das nicht nur zur Weihnachtszeit.
Überweisen Sie bei C3G-Verdacht frühzeitig an ein Zentrum in Ihrer Nähe – nutzen Sie unseren ständig wachsenden Expertenfinder
C3G C3-Glomerulopathie.
Schon gewusst?
Neue zirkulierende anti-Tn-Immunkomplexe (anti-Tn CICs) in IgAN fördern mesangiale Zellproliferation.1
Der Immunglobulin-A (IgA)-Nephropathie (IgAN) – der weltweit häufigsten Glomerulonephritis – liegen Ablagerungen von Immunkomplexen im glomerulären Mesangium zugrunde. Die neu entdeckten anti-Tn CICs sind große makromolekulare Komplexe von bis zu mehreren Megadalton. Sie enthalten hauptsächlich IgM, aber auch Tn(+)IgA1 und etwas IgG. Im Serum von IgAN-Patient*innen liegen diese Komplexe vermehrt vor und weisen im Vergleich zu gesunden Menschen höhere Mengen an C3 auf. Anti-Tn CICs sind bioaktiv und induzieren eine spezifische Proliferation menschlicher renaler Mesangiumzellen.1
Mehr über zirkulierende anti-Tn-Immunkomplexe
anti-Tn CICs Anti-Tn-Immunkomplexe. C3 Komplementfaktor C3. IgA Immunglobulin-A. IgG Immunglobulin-G. IgM Immunglobulin-M. IgAN Immunglobulin-A-Nephropathie.
1. Matsumoto Y, et al. Sci Adv. 2022;8(43).
Fakt des Tages
Die Erkältungszeit1 schickt das
Immunsystem in Überstunden.
Im Winter steigt das Risiko für schwere Proteinurien bei Immunglobulin A (IgA)-Nephropathien (IgAN) deutlich an.2
1. Sloan C, Moore ML, Hartert T. Clin Transl Sci. 2011;4(1):48-54. 2. Kanzaki G, et al. Sci Rep. 2023;13:5123.
Schon gewusst?
Digitale Biomarker für verbesserte Reproduzierbarkeit und Prädiktion der histopathologischen Diagnostik?
Forschende haben das automatisierte Framework FLASH entwickelt, welches Deep Learning zur Klassifizierung von Bildinhalten (semantische Segmentierung) und großflächigen Extraktion interpretierbarer, quantitativer morphometrischer Merkmale nutzt. FLASH wurde an multizentrischen Kohorten mit über 1000 Nierenbiopsien und Nephrektomien getestet. Die extrahierten Merkmale wurden mit klinischen Parametern assoziiert, um unabhängige Prädiktoren für langfristige klinische Ergebnisse bei IgA-Nephropathie zu identifizieren und die Reproduzierbarkeit histopathologischer Diagnostik zu verbessern.1
Mehr zur Next-Generation-Morphometrie mit FLASH erfahren
FLASH Framework for large scale histomorphometry. IgA Immunglobulin A. 1. Hölscher DL, et al. Nat Commun. 2023;14(1):470.
Besinnliches
Weihnachtliche Windlichter
Unsere Bastelanleitung für die selbstgemachte Praxisdeko
Sie möchten Ihre Praxis festlich dekorieren, sind bisher aber nicht dazu gekommen? Oder Sie suchen nach dem passenden Schmuck für Ihre heimische Fensterbank, der auch im neuen Jahr noch was hermacht? Dann sorgen unsere Windlichter für viel Stimmung mit wenig Aufwand! Zum Einsatz kommt, was fast jede*r zu Hause hat:
- Schraubgläser ausspülen – hier eignen sich etwa Marmeladen-/Einmachgläser
- Optional Gläser mit Eiskristall-Spray besprühen – das sorgt für ein besonders diffuses, gemütliches Licht
- Oben an der Windung mit festlichen Schnüren/Bändern umwickeln
- Tannen- oder Mistelzweige, kleine Zuckerstangen, Sternenanhänger o. Ä. mit einer schönen Schleife daran festbinden
- Teelicht rein – fertig ist das Weihnachtslicht
Fakt des Tages
Die Diagnose von Patient*innen mit IC-MPGN und C3G bleibt herausfordernd …
… da sich klinische Präsentation und histologische Merkmale überschneiden können. Die endgültige Diagnose erfordert eine Nierenbiopsie mit anschließender Immunfluoreszenz-Mikroskopie. Außerdem sind für eine präzise Diagnose und Therapie die Untersuchung möglicher Ätiologien und Differenzialdiagnosen entscheidend sowie eine umfassende Untersuchung zugrunde liegender genetischer oder erworbener Anomalien in Komplementproteinen. Während eine Fehlregulation im alternativen Signalweg die Grundursache von C3G ist, ist die Rolle des Komplementsystems bei IC-MPGN weniger klar. Daher sind weitere eingehende Studien zur Rolle des Komplements sowie zu den Mechanismen, die zur Ablagerung von Immunkomplexen führen, erforderlich.1
Mehr zu Diagnose und Management von IC-MPGN und C3G erfahren
C3G C3-Glomerulopathie. IC-MPGN Immunkomplex-vermittelte membranoproliferative Glomerulonephritis.
1. Bomback AS, Charu V, Fakhouri F. Kidney Int. 2024; doi: 10.1016/j.ekir.2024.09.017. Epub ahead of print.
Schon gewusst?
Worauf müssen Ihre Patient*innen mit chronischen Nierenkrankheiten achten?
Neben der richtigen Ernährung spielt auch der Blutdruck eine wichtige Rolle. Bluthochdruck sollte durch eine entsprechende Therapie behandelt werden, da dieser zu einer zusätzlichen Belastung der Nieren führen kann.1 Außerdem sollten Patient*innen mit chronischen Nierenkrankheiten Gewicht reduzieren und versuchen genügend Bewegung in den Alltag einzubauen.2,3
Mehr Informationen für Ihre Patient*innen finden Sie hier
1. Ravera M, et al. JASN. 2006;17(4):98-103. 2. Bolignano D, Zoccali C. Nephrol Dial Transplant. 2013;28:82-98. 3. Mallamaci F, Pisano A, Tripepi G. Nephrol Dial Transplant. 2020;35:18-22.
Fakt des Tages
Wer ist Jean Berger und was hat er mit der IgAN zu tun?
Jean Berger, ein französischer Pathologe, war 1968 der Erste, der die IgAN beschrieben hat.1 Aus diesem Grund wurde die Krankheit lange Zeit auch als Morbus Berger bezeichnet.
IgAN Immunglobulin-A-Nephropathie. 1. Berger J, Hinglais N. J Urol Nephrol. 1968;74:694-95.
Schon gewusst?
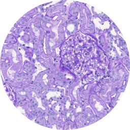
Welche Nierenkrankheit erkennen Sie auf dieser Biopsieaufnahme?
Lösung anzeigen Lösung verbergenIgA-Nephropathie (IgAN)
Die IgA-Nephropathie ist die häufigste Form der Glomerulonephritis weltweit, die durch die Ablagerung von Immunglobulin A (IgA) im Mesangium der Glomeruli charakterisiert ist.1 Die IgAN ist eine heterogene Krankheit und zeigt sich mit einem großen Spektrum an Symptomen, demographischer Variabilität sowie unterschiedlichen Krankheitsverläufen und Progressionsgeschwindigkeiten.2
Jetzt mehr Mikroskopie-Aufnahmen entdecken
1. Lafayette RA, Kelebouris E. Am J Nephrol. 2018;47:43-52. 2. Medjeral-Thomas NR, O’Shaughnessy MM. Adv Chronic Kidney Dis. 2020;27(2):111-19.
Schon gewusst?
Die C3G ist für Patient*innen im Alltag besonders belastend
31 % der C3G-Patient*innen berichten über anhaltende Müdigkeit und Erschöpfung und 14 % leiden unter Ängsten und/oder Depressionen. Etwa jede*r Vierte berichtet von sozialer Isolation. Dies kann vor allem in der Weihnachtszeit belastend sein. 18 % der Patient*innen leiden außerdem an Schwellungen und Ödemen an z. B. Knöcheln oder Gesicht und 27 % können sich nicht sportlich betätigen, was weiter zu Unwohlsein beitragen kann. Eine rechtzeitige gesicherte Diagnose kann zu einer verbesserten Lebensqualität beitragen und ist darum besonders wichtig.1
Lesen Sie mehr über die Herausforderungen im Alltag.
C3G C3-Glomerulopathie. 1. Feldman DL, et al. Voice of the patient. https://www.kidney.org/sites/default/files/C3G_EL-PFDD_VoP-Report_3-29-18.pdf (zuletzt aufgerufen am 25.11.2024).
Schon gewusst?
Das Zusammenspiel zwischen Komplementwegen und Glomerulopathien ist äußerst vielschichtig
Glomerulopathien umfassen ein breites Spektrum von Krankheiten mit unterschiedlichen Ursachen, klinischen Erscheinungsbildern und Verlaufsformen. In dem komplizierten Geflecht von Faktoren, die zur Pathogenese beitragen, hat sich die Rolle der Komplementaktivierung als ein Schwerpunkt des Forschungsinteresses herauskristallisiert. Die in den letzten Jahren gewonnenen Erkenntnisse bei verschiedenen Krankheiten haben zur Entwicklung neuer Moleküle geführt, die gegen unterschiedliche Komplementkomponenten gerichtet sind.
Mehr zu therapeutischen Interventionen bei Glomerulopathien erfahren
1. Gentile M, Manenti L. PrePrints.org. Nov 2024. doi:10.20944/preprints202411.2403.v1.
Besinnliches
… der Kalender ist zwar bald zu Ende, doch unser Newsletter bringt auch danach die Wissenswende
Sie möchten auch nach Weihnachten noch über spannende Fakten, klinische Studien und Nachrichten aus der Nephrologie informiert werden?
Dann melden Sie sich hier für unseren Newsletter an!
Schon gewusst?
Beeinflusst ein hoher UPCR-Ausgangswert das Risiko für Nierenversagen bei C3G und IC-MPGN?
Daten aus dem britischen National Registry of Rare Kidney Diseases (RaDaR) zeigen, dass hohe UPCR-Ausgangswerte und der 2-Jahres-eGFR-Verlauf keinen oder nur einen mäßigen Einfluss auf das Risiko eines Nierenversagens haben. Im Gegensatz dazu waren sowohl eine Reduktion der gemittelten UPCR um 20–50 % bzw. um 0,44 g/g (50 mg/mmol) über 12 Monate stark mit einem geringeren Risiko für Nierenversagen verbunden (p ≤ 0,002).1
In der Publikation erfahren Sie mehr über die Zusammenhänge einer frühen Änderung der Proteinurie oder eGFR und dem Risiko eines Nierenversagens.
C3G C3-Glomerulopathie. eGFR Geschätzte glomeruläre Filtrationsrate.
IC-MPGN Immunkomplex-vermittelte membranoproliferative Glomerulonephritis.
UPCR Protein/Kreatinin-Verhältnis im Urin.
1. Masoud, S. et al. https://doi.org/10.1101/2024.02.03.24301605.
Besinnliches
Was hat sich denn hier versteckt:
Finden Sie die verlorene Weihnachtsmütze?
In diese Nierenbiopsie eines ANCA-Vasculitis-Falles hat sich eine kleine Mütze versteckt. Irgendwo zwischen Glomerulus mit frischer Schlingennekrose und zellreichem Kapselproliferat (zellulärem Halbmond). Wer genau hinsieht, wird sicher fündig!
Lösung anzeigen Lösung verbergen
Wir sagen danke, dass Sie uns durch diesen Kalender begleitet haben und wünschen Ihnen und Ihren Liebsten ein frohes Fest!
Ihr Novartis-Team
